COVID-19 and pregnancy - a new study reveals alarming findings.

Mommyhood101 independently tests and curates baby gear to help you make informed decisions. If you buy products through links on our site, we may earn a commission.
As if pregnancy isn't stressful enough, two new studies report that COVID-19 attacks the placenta of pregnant women, restricting blood flow and nutrients to the baby.
Why this matters: The placenta acts as the baby's lifeline while in the womb, delivering oxygen and nutrients, and acting as a vital organ to help the developing kidneys, intestines, liver, and lungs work effectively.
The Studies: COVID-positive Moms
Two new studies were published, one published in the American Journal of Clinical Pathology, and the other in Pediatric and Developmental Pathology.
The studies examined placentas from a total of 36 mothers with tested positive for COVID-19.
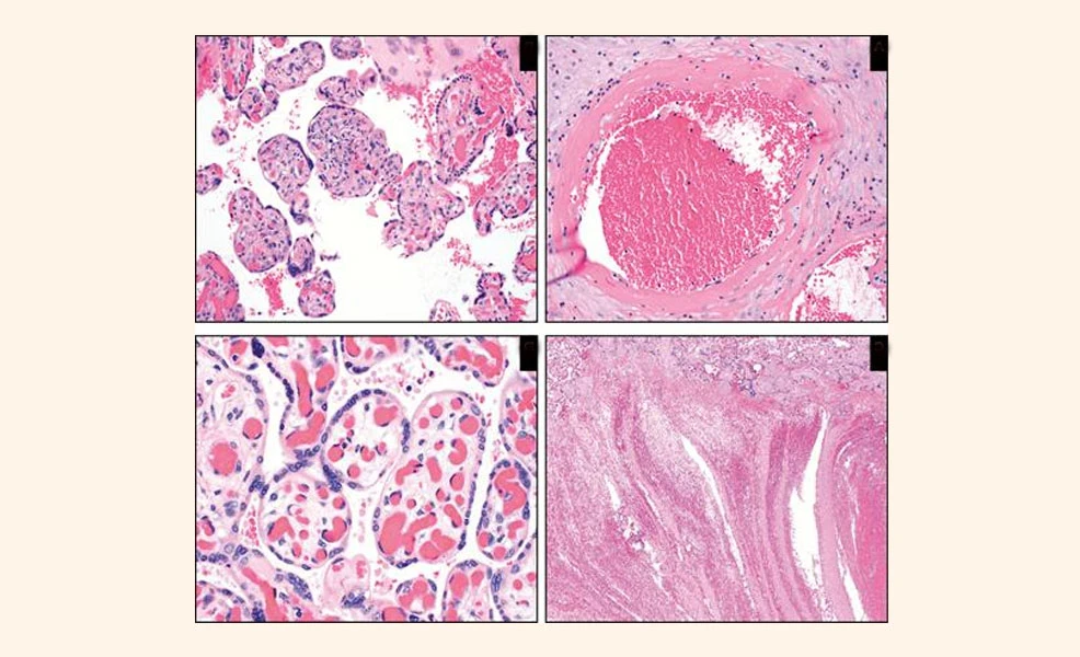
The placentas were taken after birth and examined by pathologists under very high-powered microscopes (at 200x zoom), using special stains that can help reveal abnormalities. Pathologists are physicians who are trained to identify abnormalities in tissue specimens (biopsies).
The Results: Placenta Abnormalities
Across both studies, there were three general results:
- About half of the placentas showed abnormalities.
- Abnormalities were mostly vascular malperfusion, a fancy way of saying that blood flow to the baby was restricted in one way or another.
- Blood flow can be obstructed by stasis (temporary pauses of blood flow), ischemia (slowed blood supply), or even thrombosis (a clot that blocks blood supply).

Image: A magnified (200x) image of the placenta tissue, showing vascular malperfusion, in this case fibrin deposited along the inner-most layers of the blood vessel. Shared under Creative Commons Attribution 4.0 License from the journal Pediatric and Developmental Pathology.
The authors of the papers thoughts these results were pretty meaningful:
Dr. Shanes, a pathologist at Northwestern University and lead author of one of the studies, noted in the article that "there are increased rates of maternal vascular malperfusion features and intervillous thrombi, suggesting a common theme of abnormal maternal circulation."
Dr. Baergen, a pathologist at Cornell University Medical Center and lead author of one of the studies, noted in the article that "maternal Covid-19 infection might be associated with propensity for thrombosis in the fetal circulation."
In English, Please!
These early results suggest that in about half of moms who are COVID-19 positive during childbirth, the placenta shows some signs of problems.
These problems seem to be in both the placenta and umbilical cord, and point to a restriction or blockage of blood and oxygen flow from the mother to the baby.
This finding suggests that COVID-19 not only affects the mother but also the developing fetus. The authors also point out that these are preliminary studies with a limited number of placentas examined from COVID-19 positive mothers. So the results should be taken with a grain of salt.
The next question is, does this result in developmental changes in the fetus?
How Does this Affect the Baby?
One of the amazing outcomes of millions of years of evolution is that the placenta has developed a complex network of redundancies that serve to help maintain fetal health when the mother faces illness.
The result of those redundancies appears to be reduced risk to the baby, even with the significant abnormalities in the placenta.
As detailed in one of the articles, most of the COVID-positive women had successful childbirths that were to term, within the range of normal birth weights, and showed good APGAR scores.
At this point, it seems like in most cases of COVID-19 in pregnant moms, the fetus appears to be well protected. This supports several other studies showing a similar result, including that COVID-19 is rarely transmitted to a fetus, and rates of pregnancy complications with COVID-19 are generally low.
Can Pregnant Moms Protect Their Babies?
As noted by the CDC and WHO, the best prevention is to wear protective gear whenever within 6 feet of others from outside of your household, and wash your hands frequently and thoroughly.
If you think you have been exposed to COVID-19 or might have symptoms of COVID-19, immediately contact your physician. This is true regardless of whether you're pregnant or not.
As of now, there is pretty good evidence that pregnancy does not necessarily increase the risk of complications due to COVID-19 in mothers, or pose significant risks to the fetus, which should help reduce your anxiety (at least a little bit).
Remember, pregnancy is a great time to pamper yourself and ask others to do the things that might be making you nervous. Don't feel bad asking others if they can run to get groceries, fill up the car, or pick up anything you need.
Your health and the health of your baby are well worth the hassle!
References
Baergen, R. N., & Heller, D. S. (2020). Placental Pathology in Covid-19 Positive Mothers: Preliminary Findings. Pediatric and Developmental Pathology, 23(3), 177-180. doi: https://journals.sagepub.com/doi/full/10.1177/1093526620925569
Shanes, E. D., Mithal, L. B., Otero, S., Azad, H. A., Miller, E. S., & Goldstein, J. A. (2020). Placental Pathology in COVID-19. American Journal of Clinical Pathology, aqaa089. doi: https://doi.org/10.1093/ajcp/aqaa089




